Herzkatheterlabor
Das Herzkatheterlabor, das zur Behandlung von Notfällen rund um die Uhr besetzt ist, besteht aus zwei Herzkatheter-Messplätzen, so genannten Koronarangiographieplätzen. Hier werden jährlich rund 2000 diagnostische Untersuchungen und gut 950 Dehnungen der Herzkranzgefäße durchgeführt.
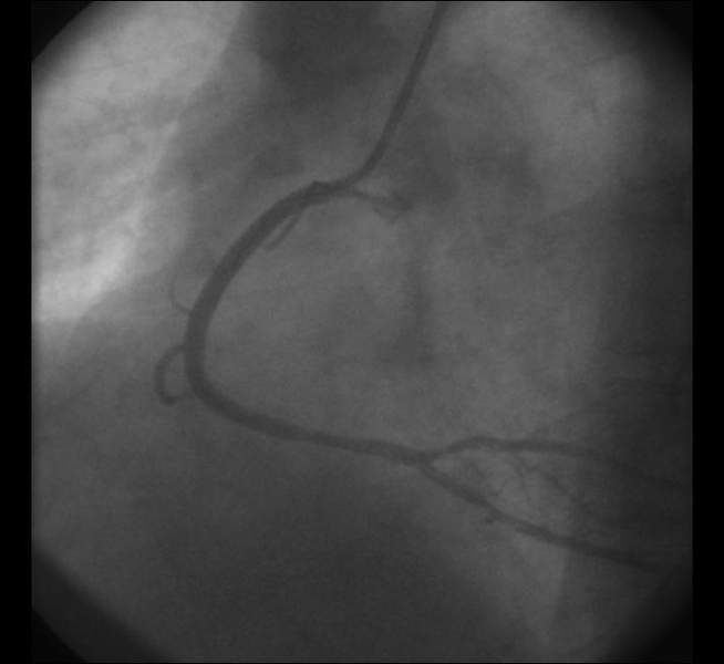
Bei dieser Untersuchung wird das linke Herz über eine Schlagader sondiert. In den meisten Fällen benutzen wir hierzu die Handschlagader.
Einige Fakten
Spezialisierungen
Coronarangiographie und PTCA von der Arteria radialis (Handgelenk)
Wiedereröffnung von chronischen Gefäßverschlüssen mit verschiedenen Techniken
Intravasculärer Ultraschall (IVUS)
Intravaskuläre Druckdrahtmessungen (FFR)
Rotablation
Team des Herzkatheterlabors

Oberarzt Dr. Jürgen Arenz
Verantwortlicher Oberarzt für das Herzkatheterlabor
und Ihr Ansprechpartner für Herzkatheter und Koronarinterventionen

Uwe Winter
Bereichsleitung

Hakki Corbaci
Pflegefachleitung















